Urolithiasis 2 – extracorporeal shockwave lithotripsy
- Click for Part 1 on this topic - Case scenario A 37-year-old male presents to A&E with 12 hours of intermittent, severe, left-sided loin to groin pain and multiple episodes of vomiting. Urine dipstick shows 2+ blood but no...
Full Details-
Prostate Scotland has launched an updated patient information booklet focusing on active surveillance. The...
-
Transition supports continuity of supply and aligns ialuril® with IBSA’s expanding UK uro-gynaecology portfolio....
-
For Bladder Cancer Awareness Month this May, leading charity Action Bladder Cancer UK is...
-
SmashUrology has launched a dedicated FRCS Urol Part 2 viva preparation platform to help...
-
The Association for Continence Professionals Annual Conference and Networking Exhibition takes place 11 –...
-
Following the launch of a groundbreaking joint initiative between EDX Medical and The Graham...
Things I wish I knew before starting on-call as an CST in urology
When I started my first core surgical trainee (CST) job in urology, I had no prior exposure or experience. Quickly I realised the significant step up and responsibility involved. Covering multiple sites overnight is something that requires organisation and awareness...
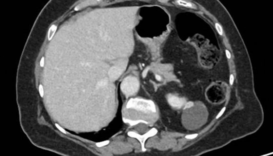
Full DetailsKidney stones in pregnancy
Urolithiasis related complications are estimated to affect between 1:200 and 1:2000 pregnancies [1,2]. With around 825,000 conceptions in England and Wales in 2021 [3], this represents an uncommon but not rare occurrence. What is normally a straightforward pathway for a...
Full Details-
The Royal College of Surgeons Future of Surgery Festival
-
The Royal College of Surgeons of Edinburgh Basic Microsurgical Skills Course
-
Clinical practice is in the midst of a profound digital transformation with a new...
-
Podcasts, downloadable or streamable digital audio / video shows, have surged in popularity over...
-
In this series of articles, I show you some of the exhibits contained in...
-
In this series of articles, I am going to show you some of the...
-
Matthew Bultitude. Can you tell us a little bit about what led you into...
-
Carmel Ramage. Can you tell us a little bit about what first attracted you...
Product Guide
-
Partial nephrectomy has become the standard of care in the management of small renal...
-
A 75-year-old male with a history of prostate adenocarcinoma (T3b/T4 N1 M1b, Gleason 4+3)...
-
Congenital non-visualisation of penis is a rare form of buried penis. It affects the...
-
Most testicular cancers present with a painless lump on the testes, and most are...
-
Radical surgical treatment of prostate cancer has become minimally invasive owing to robotic assisted...
-
Treatment of prostate cancer in renal transplant recipients is challenging due to a lack...





























