Spot Tests
Benign upper tract abnormalities
Case 1 A 28-year-old lady has been referred to your clinic with right loin pain. She has no significant past medical history but mentions that she and her partner have been trying to get pregnant. She has an US renal...
The role of embolisation in urology
Case 1 An 86–year–old male presented with visible haematuria and suprapubic pain. He had a history of diabetes, heart failure, benign prostatic hypertrophy, aortic valve replacement, deep vein thrombosis (DVT) and atrial fibrillation (AF) and was anticoagulated on a non-VKA...
LUTS update
Case study A 70-year-old, generally fit and well male attends your outpatient clinic. He has experienced a gradual deterioration in his voiding over the last few months. Specifically, he reports hesitancy, poor flow and nocturia. He denies visible haematuria. His...
Upper tract abnormalities
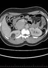
Case 1 Figure 1. A 26-year-old female presents to A&E with loin pain. What do the CT images in Figures 1 (left, centre and right) show? What is the prevalence of the congenital anomaly in the general population, and is...
Functional and reconstructive urology
Case 1 A 45-year-old female presents with a one-year history of urinary leakage, especially worse on coughing. She is otherwise well, with no co-morbidities. What is the International Continence Society (ICS) definition of stress urinary incontinence (SUI)? What are the...
Cystoplasty
Case 1 A 48-year-old female, having previously had an augmentation ileocystoplasty 10 years ago, has been referred with right loin pain by the emergency department. A venous blood gas is performed shortly after triage with the following values: What is...
Urethral pathology
Case 1 A 43-year-old lady presents with urinary incontinence and vaginal pain associated with intercourse. An initial CT scan is performed. Case courtesy of Radswiki, Radiopaedia.org, rID: 12056. Case courtesy of Radswiki, Radiopaedia.org, rID: 12056 What is the clinical diagnosis...
Infections and inflammation: Part 3
See also Part 1 and Part 2 Case 1 You review a man in the Emergency Department with scrotal pain and sepsis. His clinical examination findings are shown. What does this image show? Who was this condition named after? What...
Infections and inflammation: Part 2
See also Part 1 and Part 3. Case 1 A 43-year-old lady presented to the urologist with a history of pain during bladder filling and associated frequency / urgency. She underwent standard microbiological and radiological investigations that are normal. She...
The adrenals
Case 1 A 45-year-old man undergoes a CT of his abdomen to stage a newly diagnosed bowel malignancy. What does the scan show? What findings on a CT scan suggest an adrenal lesion is benign? If the CT scan is...
Bladder outlet obstruction
Case 1 Define the zonal anatomy of the prostate: A, B and C What is the significance of Zone A and Zone C? Clasify the types of lower urinary tract symptoms (LUTS) Which investigations should be routinely undertaken for a...
Testicular cancer (Jan 2016)
Case 1 A 26-year-old male presented with a two-week history of testicular pain and swelling. On examination the right testicle was enlarged, indurated and tender. Erythema of the scrotum on that side was also noted. Ultrasound of the testis reported...

